The Radiology Partners (RP) Neuroradiology National Subspecialty Division (NSD) presents our newest Rad to Rad Learning case.
Peer Learning Opportunity
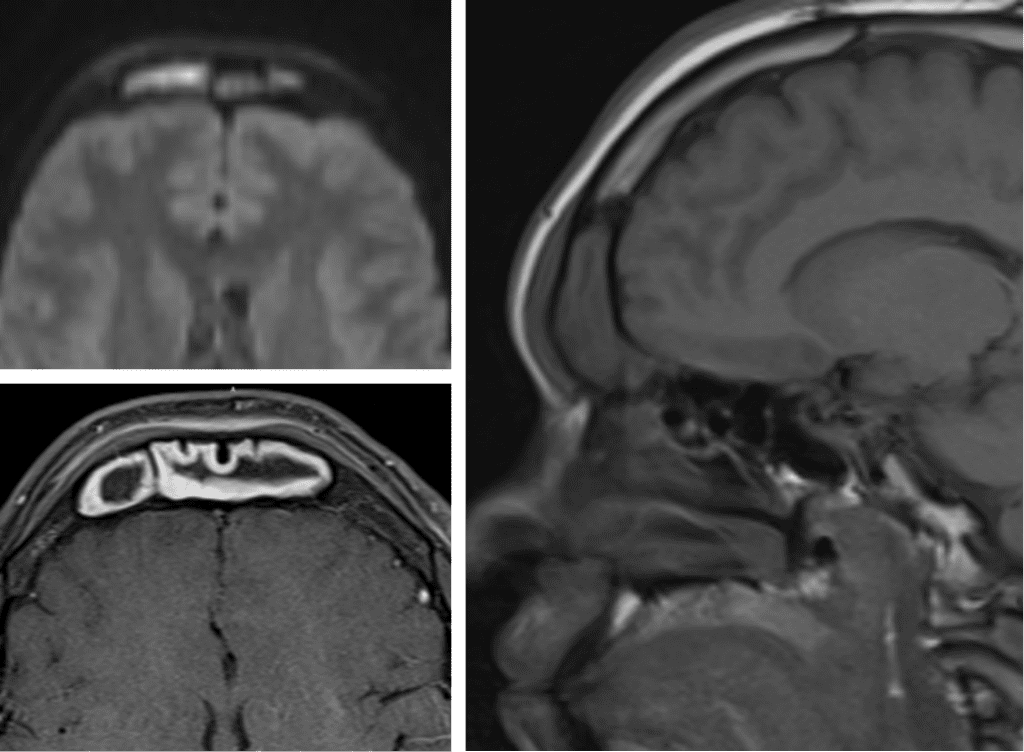
The possibility of intracranial extension of sinus infection results in high morbidity.
Pott’s Puffy Tumor

Subperiosteal abscess related to extension of acute frontal sinusitis through the calvarium.
Shared to improve patient safety and healthcare delivery in the provision of radiology services. The circumstances and facts are changed, altered, or deidentified to preserve confidentiality. Privileges have not been waived.
Practical Insights 
-
-
Factors that increase the risk of developing Pott’s include trauma, intranasal cocaine use, methamphetamine use, and craniotomy.
-
Commonly associated intracranial extension needs to be evaluated with an MRI.
-
The overlying calvarium can remain intact.
-
DWI sequence is key for abscess evaluation.
-
More common in adolescents.
-
Takeaway: Prompt identification is required to avoid significant neurologic complications.
The Neuroradiology National Subspecialty Division (NSD) is part of RP’s Clinical Value Team, which works to elevate patient care and enhance value through innovation, collaboration and education. To advance this goal, our radiologists and advanced practice providers are committed to sharing peer learning as valuable reminders and insights about what we encounter in our day-to-day practice. Check back here and on X, LinkedIn and Instagram to see these common cases and our findings.
Visit the Clinical Resources page for more cases and to see what we’ve developed to enhance best practice recommendations, elevate image quality and patient care and update current standards throughout RP’s network of practices, all to deliver excellent radiology services to patients, referring clinicians and client partners.
Radiology Partners, through its owned and affiliated practices, is a leading physician-led and physician-owned technology-enabled radiology practice in the U.S. For the latest news from RP, follow us on X, LinkedIn, Instagram, YouTube and the blog.







