The Radiology Partners (RP) Cardiothoracic Imaging National Subspecialty Division (NSD) presents our newest Rad to Rad Learning case.
Peer Learning Opportunity
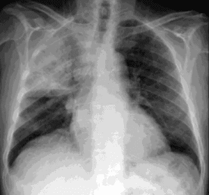
This is a routine outpatient chest x-ray that just showed up on your list at 4:45 pm on a Friday. What is the appropriate management?
Mode of Communication

Shared to improve patient safety and healthcare delivery in the provision of radiology services. The circumstances and facts are changed, altered, or deidentified to preserve confidentiality. Privileges have not been waived.
Practical Insights 
-
-
Call the referring provider right away. Don’t risk the report sitting in their inbox until Monday.
-
We’re all familiar with critical findings that need to be communicated immediately like strokes or PEs, but it is also important to communicate more “routine” findings in a way that would prevent delays in treatment that could cause significant adverse outcomes.
-
Takeaway: Consider potential treatment delays in how you choose to communicate your findings.
The Cardiovascular Imaging National Subspecialty Division (NSD) is part of RP’s Clinical Value Team, which works to elevate patient care and enhance value through innovation, collaboration and education. To advance this goal, our radiologists and advanced practice providers are committed to sharing peer learning as valuable reminders and insights about what we encounter in our day-to-day practice. Check back here and on X, LinkedIn and Instagram to see these common cases and our findings.
Visit the Clinical Resources page for more cases and to see what we’ve developed to enhance best practice recommendations, elevate image quality and patient care and update current standards throughout RP’s network of practices, all to deliver excellent radiology services to patients, referring clinicians and client partners.
Radiology Partners, through its owned and affiliated practices, is a leading physician-led and physician-owned technology-enabled radiology practice in the U.S. For the latest news from RP, follow us on X, LinkedIn, Instagram, YouTube and the blog.








