The Radiology Partners (RP) Breast Imaging National Subspecialty Division (NSD) presents our newest Rad to Rad Learning case.
Peer Learning Opportunity
Mammographic sensitivity can drop to as low as 50% in extremely dense breasts (Category D), compared to nearly 90% in fatty breasts (Category A).
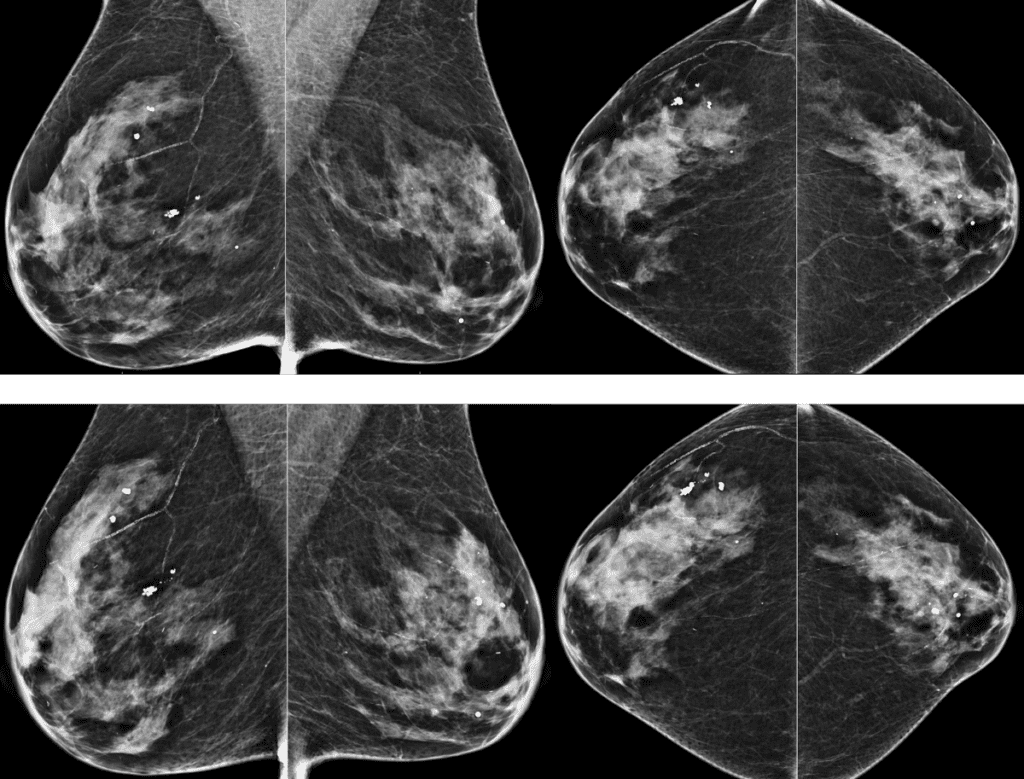
Top: Screening 2021, Bottom: Screening 2024

False Negative in Dense Breast
Cancers detected by supplemental screening whole-breast ultrasound are often invasive, however small and node negative, indicating they are found at an early, more treatable stage.
Post-biopsy reflector. Right breast, 7:00.

Shared to improve patient safety and healthcare delivery in the provision of radiology services. The circumstances and facts are changed, altered, or deidentified to preserve confidentiality. Privileges have not been waived.
Practical Insights 
-
-
Breast density is an interdependent risk factor for breast cancer.
-
Supplemental breast ultrasound can detect an additional 2-4 cancers per 1,000 women screened with dense breasts.
-
Ultrasounds have a high false positive rate. The positive predictive value is 5-10% (compared to 25-40% for mammography).
-
Women with dense breasts and other risk factors (e.g., strong family history, genetic mutations) may benefit most from supplemental MRI.
-
Contrast-enhanced mammography is a promising alternative for dense breasts.
-
In dense breasts, US can find additional clinically significant cancers.
The Breast Imaging National Subspecialty Division (NSD) is part of RP’s Clinical Value Team, which works to elevate patient care and enhance value through innovation, collaboration and education. To advance this goal, our radiologists and advanced practice providers are committed to sharing peer learning as valuable reminders and insights about what we encounter in our day-to-day practice. Check back here and on X, LinkedIn and Instagram to see these common cases and our findings.
Visit the Clinical Resources page for more cases and to see what we’ve developed to enhance best practice recommendations, elevate image quality and patient care and update current standards throughout RP’s network of practices, all to deliver excellent radiology services to patients, referring clinicians and client partners.
Radiology Partners, through its owned and affiliated practices, is a leading physician-led and physician-owned technology-enabled radiology practice in the U.S. For the latest news from RP, follow us on X, LinkedIn, Instagram, YouTube and the blog.







