The Radiology Partners (RP) MSK Musculoskeletal National Subspecialty Division (NSD) presents our newest Rad to Rad Learning case.
Peer Learning Opportunity
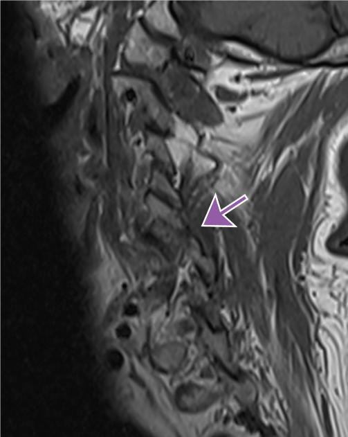
This diagnosis is associated with high risk for spinal cord injury and vertebral artery injury.
Perched Facets
Malalignment of the facet joints with the inferior articular process of C5 sitting anteriorly “perched” on the superior articular process of C6.

Shared to improve patient safety and healthcare delivery in the provision of radiology services. The circumstances and facts are changed, altered, or deidentified to preserve confidentiality. Privileges have not been waived.
Practical Insights 
-
-
Mechanism matters: Due to hyperflexion, lateral compression and rotation, most often from automobile accident.
-
Widening of the interspinous distance.
-
Up to 90% of patients with interfacetal dislocation will present with symptoms, and up to 40% can have a complete spinal cord injury.
-
Early diagnosis and treatment can decrease permanent neurologic injury incidence.
-
Search Pattern alert: Examine facet joints on parasagittal images.
The MSK Musculoskeletal National Subspecialty Division (NSD) is part of RP’s Clinical Value Team, which works to elevate patient care and enhance value through innovation, collaboration and education. To advance this goal, our radiologists and advanced practice providers are committed to sharing peer learning as valuable reminders and insights about what we encounter in our day-to-day practice. Check back here and on X, LinkedIn and Instagram to see these common cases and our findings.
Visit the Clinical Resources page for more cases and to see what we’ve developed to enhance best practice recommendations, elevate image quality and patient care and update current standards throughout RP’s network of practices, all to deliver excellent radiology services to patients, referring clinicians and client partners.
Radiology Partners, through its owned and affiliated practices, is a leading physician-led and physician-owned technology-enabled radiology practice in the U.S. For the latest news from RP, follow us on X, LinkedIn, Instagram, YouTube and the blog.








