The Radiology Partners (RP) Neuroradiology National Subspecialty Division (NSD) presents our newest Rad to Rad Learning case.
Peer Learning Opportunity
Up to 80% of patients with this condition suffer severe memory loss (Korsakoff syndrome) and it has a 10-20% mortality rate if untreated.
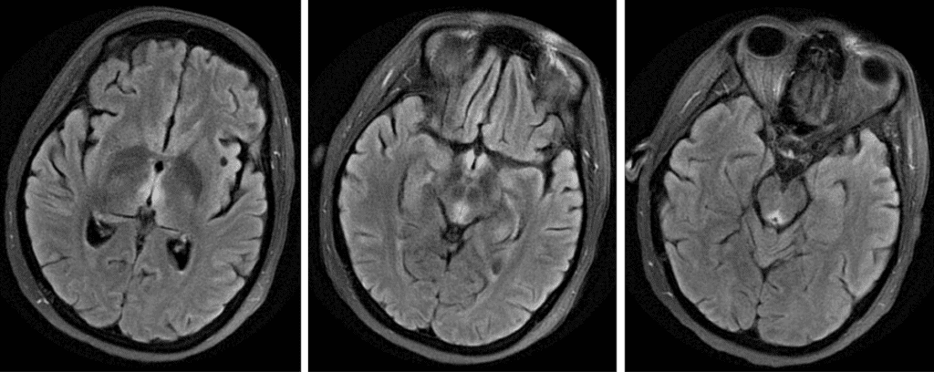
Wernicke Encephalopathy
Look for symmetric T2 hyperintensity in the medial thalami, hypothalami, mammilary bodies, and periaqueductal grey matter.
Shared to improve patient safety and healthcare delivery in the provision of radiology services. The circumstances and facts are changed, altered, or deidentified to preserve confidentiality. Privileges have not been waived.
Practical Insights 
-
-
The classic triad of ataxia, oculomotor abnormalities and confusion is present in the majority of patients.
-
Over 20% of thiamine deficiencies occur in nonalcoholics with malnutrition, malabsorption, prolonged vomiting, cancer, or AIDS.
-
MRI is normal in 40% of cases.
-
Thiamine supplementation is a cheap and effective treatment.
-
Classic imaging appearance should trigger thiamine supplementation due to low-risk and high clinical impact.
The Neuroradiology National Subspecialty Division (NSD) is part of RP’s Clinical Value Team, which works to elevate patient care and enhance value through innovation, collaboration and education. To advance this goal, our radiologists and advanced practice providers are committed to sharing peer learning as valuable reminders and insights about what we encounter in our day-to-day practice. Check back here and on X, LinkedIn and Instagram to see these common cases and our findings.
Visit the Clinical Resources page for more cases and to see what we’ve developed to enhance best practice recommendations, elevate image quality and patient care and update current standards throughout RP’s network of practices, all to deliver excellent radiology services to patients, referring clinicians and client partners.
Radiology Partners, through its owned and affiliated practices, is a leading physician-led and physician-owned technology-enabled radiology practice in the U.S. For the latest news from RP, follow us on X, LinkedIn, Instagram, YouTube and the blog.



Shared to improve patient safety and healthcare delivery in the provision of radiology services. The circumstances and facts are changed, altered, or deidentified to preserve confidentiality. Privileges have not been waived.
Shared to improve patient safety and healthcare delivery in the provision of radiology services. The circumstances and facts are changed, altered, or deidentified to preserve confidentiality. Privileges have not been waived.