Rad to Rad Learning: Endoleaks

The Radiology Partners (RP) Interventional Radiology National Subspecialty Division (NSD) presents our newest Rad to Rad Learning case.

 


Peer Learning Opportunitymegaphone icon

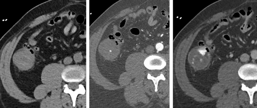
Classification of endoleaks drives critical management and follow-up.

Endoleaks

Type 1: Incomplete endograft seal and contrast tracking around the graft directly into the sac. Type 2: Retrograde flow of one or more branch arteries into the sac.

Shared to improve patient safety and healthcare delivery in the provision of radiology services. The circumstances and facts are changed, altered, or deidentified to preserve confidentiality. Privileges have not been waived.


Practical Insights duplicate icon

    • Type 1:

      • Type 1a = proximal seal.
      • Type 1b = distal seal.
      • Both high-risk, requiring urgent repair!
    • Type 2:

      • Most common.
      • Not urgent, but requires follow-up.
      • For >5mm growth over 6 months, treat with embolization.

Bell iconTakeaway: type 1 endoleak is a critical finding!

The Interventional Radiology National Subspecialty Division (NSD) is part of RP’s Clinical Value Team, whichworks to elevate patient care and enhance value through innovation, collaboration and education. To advance this goal, our radiologists and advanced practice providers are committed to sharing peer learning as valuable reminders and insights about what we encounter in our day-to-day practiceCheck back here and on XLinkedIn and Instagram to see these common cases and our findings.

Visit the Clinical Resources page for more cases and to see what we’ve developed to enhance best practice recommendations, elevate image quality and patient care and update current standards throughout RP’s network of practices, all to deliver excellent radiology services to patients, referring clinicians and client partners.

Radiology Partners, through its owned and affiliated practices, is a leading physician-led and physician-owned technology-enabled radiology practice in the U.S. For the latest news from RP, follow us on XLinkedInInstagramYouTube and the blog.


Clinical Pathway: RP’s Clinical Value Team presents best practices for E&M service lines

Radiology Partners published an Evaluation & Management (E&M) Service Line Clinical Pathway.

Dedicated E&M service lines are a powerful way to enhance the continuity of care while strengthening the operational efficiency of radiology practices. These service lines can advance the patient experience, reinforce strong relationships with referring providers, improves overall satisfaction within interventional radiology (IR) teams, supports compliance with billing and regulatory requirements and helps ensure appropriate reimbursement for the services provided.

RP’s Advanced Practice Provider and IR National Subspecialty Division Advisory Boards collaborated on a Clinical Pathway on creating an E&M Service Line, exploring recommended structure, workflows and coding guidance.  

Chris Davis, DMSc, PA-C, RT, serves as RP’s national subspecialty lead (NSL) for Advanced Practice Providers, and Dr. Heath McCullough serves at RP’s NSL for Interventional Radiology. They each partner with an advisory board made up of practicing APPs and radiologists to spearhead the development and implementation of programs with a mission to enhance clinical value and quality in imaging across RP. They focus on refining best practice recommendations, advancing image quality and aligning with the latest industry standards, all to deliver innovation and excellence in radiology services for patients, referring clinicians and client partners, and they share resources, like this clinical pathway, broadly so that all practices can deliver high-quality subspecialty care to patients in their communities.

Radiology Partners  Clinical Value Team exists to elevate patient care and enhance value through innovation, collaboration and education. Radiology Partners, through its owned and affiliated practices, is a leading physician-led and physician-owned radiology practice in the U.S. For the latest news from RP, follow us on X, LinkedIn, Instagram, YouTube and the blog.

Shared to improve patient safety and healthcare delivery in the provision of radiology services. The circumstances and facts are changed, altered, or deidentified to preserve confidentiality. Privileges have not been waived.


Rad to Rad Learning: Active GI Bleed on CTA

The Radiology Partners (RP) Interventional Radiology National Subspecialty Division (NSD) presents our newest Rad to Rad Learning case.

 


Peer Learning Opportunitymegaphone icon

Higher specificity and anatomic localization of CTA enhances speed and accuracy of GI bleed diagnosis.

Active GI Bleed on CTA

Arterial extravasation that increases on delayed phase is diagnostic of active bleeding.

Active GI Bleed on CTAShared to improve patient safety and healthcare delivery in the provision of radiology services. The circumstances and facts are changed, altered, or deidentified to preserve confidentiality. Privileges have not been waived.


Practical Insights duplicate icon

    • CTA is exam of choice to diagnose acute GI bleeding – quickly replacing tagged RBC scans.

    • CTA protocol: No oral contrast, must include non con, arterial and venous phase imaging.

    • Non contrast imaging is key to avoid false positives.

    • Faster diagnosis = improved embolization success.


Bell iconMultiphase CTA = Faster, more specific, better anatomic localization.

The Interventional Radiology National Subspecialty Division (NSD) is part of RP’s Clinical Value Team, whichworks to elevate patient care and enhance value through innovation, collaboration and education. To advance this goal, our radiologists and advanced practice providers are committed to sharing peer learning as valuable reminders and insights about what we encounter in our day-to-day practiceCheck back here and on XLinkedIn and Instagram to see these common cases and our findings.

Visit the Clinical Resources page for more cases and to see what we’ve developed to enhance best practice recommendations, elevate image quality and patient care and update current standards throughout RP’s network of practices, all to deliver excellent radiology services to patients, referring clinicians and client partners.

Radiology Partners, through its owned and affiliated practices, is a leading physician-led and physician-owned technology-enabled radiology practice in the U.S. For the latest news from RP, follow us on XLinkedInInstagramYouTube and the blog.


=""

Why RP? A Q&A with Chris Davis, National Subspecialty Lead, Advanced Practice Providers

Chris Davis, National Subspecialty Lead for Advanced Practice Providers (APPs) at Radiology Partners (RP), discusses his journey and insights as a physician assistant (PA) specializing in interventional radiology, the unique roles and growth opportunities within the field and the support provided by RP.

Chris Davis, DMSc, PA-C, RT, is a PA in interventional radiology for RP Phoenix in Mesa, Arizona, where he also serves as adjunct faculty and preceptor for PA programs in the region. He is a fellow member of the American Academy of Physician Assistants and has served as a clinical associate member of the Society of Interventional Radiology, as well as past president of the Arizona State Association of Physician Assistants. He joined RP in 2007. Outside of work, he enjoys cycling, running and spending time with family.

We talked to Chris about his path to being a PA and how RP’s nationwide network, local adaptability and strong support for APPs allow him to make meaningful clinical and educational impacts.

Tell us why you wanted to pursue a career as a physician assistant?

While finishing my bachelor’s degree in biology at the University of Utah, I realized I didn’t want to be a biology teacher and needed a career that could support a family. Medical school was in the back of my mind, but I also wanted kids, and balancing school with parenting was going to be challenging. That’s when I discovered the PA profession. At the time, prior medical experience was strongly emphasized. We were living in Utah, and I found an affordable two-year X-ray tech program. I jumped in, gained hands-on experience and continued the PA path. After X-ray school, I worked for a couple years as an X-ray tech while applying to PA programs. Once I completed PA school, I found combining the medical knowledge from PA training with the imaging and positioning skills from RT school was the perfect blend. To me, it’s the best of both worlds.

What drew you to interventional radiology?

The interventional radiology component is a natural pathway for PAs who want to practice in radiology. I found most PAs who want to practice in radiology are hands-on; they’re the doers and the ones who get things done. And that’s me. As a PA in interventional radiology, you get to interact with the patients and help solve the problem. For example, if they’ve got a swollen knee or fluid around their belly, you get to help be part of solving the issue.

What’s fulfilling about working as an APP for RP?

Serving as National Subspecialty Lead for APPs at RP has been very fulfilling. It’s incredibly rewarding to look across the practice and help identify where APPs can make a meaningful impact – not just in enhancing the patient care experience but also in supporting our physician colleagues so they can have better experiences.

What are some unique features RP offers that are hard to find elsewhere?

It’s the nationwide scope. I’m involved in a few PA and nurse practitioner groups online, and I see great questions being asked. But often, those folks are in smaller practices without the internal network to turn to and say, “Hey, how do I do this?” or “I’m having this challenge – how do I solve this concern?” At RP, we have a large network of APPs across the country, which means we’ve seen the full range of challenges faced by APPs working in radiology, whether it’s fluoroscopy privileges or prescribing rights. We’ve already worked the problem, or we have other APPs in different states who have encountered it and can say “Here’s what I did when I was having that issue.” It’s that nationwide strength within RP that really is impressive. And yet, we still know each other – it feels personal. Sitting on the national council and the Clinical Value Team, we’re across the country and in different specialties, but in our monthly meetings, I’m just a regular guy. That’s pretty awesome.

Tell us more about your role as an educator and how that relates to your role as a National Subspecialty Lead for RP?

What’s interesting is when I started as a PA in radiology back in 2007, there were maybe seven or eight of us in the entire state of Arizona. Now I think we’re up to around 20. We’ve seen the profession grow, but it’s still pretty small. Because of that, we’re frequently asked to take students – and when they rotate with us, they start to see that this is a viable career path. It’s hands-on, and there’s a little bit of autonomy, because when you’re in the procedure, you’re the one making decisions. They are really drawn to that idea. I’ve had the opportunity to spread the gospel of IR to PAs and nurse practitioners here in the Phoenix Valley through teaching. Watching students come in for their four- to six-week rotations –initially overwhelmed by the technology, the imaging, the ultrasound machines – and then seeing that shift by the end, when they realize, “Hey, I can do this,” is incredibly gratifying. They go from intimidated to confident, hitting small lesions with precision. It’s about growing the profession, mentoring the next generation and showing them what’s possible in radiology. It’s fulfilling to help shape that journey both locally and nationally.

You’ve worked as a PA in radiology for 18 years. How has the field evolved, and what does the future look like to you? How will RP contribute to that?

There are a couple of things. First, the scope of what APPs can do in radiology has broadened. We’ve seen procedures where, once an APP gets a hold of it and is confident and skilled, they can take on that responsibility and relieve some of the burden from radiologists. That leads to greater efficiency, which is a huge benefit for RP overall—especially as we face a narrowing pipeline for both interventional and general radiologists. APPs can absolutely help fill that role. I suspect we’re going to see more APPs working in radiology, and that scope will continue to fulfill the needs of individual practices. What’s interesting about RP is, because it’s locally led, APPs can adapt to what the local practice needs. For example, here in the Phoenix area, our East Valley practice looks different from the West Valley—and that’s okay, because we’re able to adapt to the local needs of each group. This is similar in other places like North Carolina, Florida or Texas, where more clinical rounding is done. That’s just what the practice needs, and APPs are stepping up to meet those demands. That flexibility and responsiveness are what make the APP role so valuable within RP.

What are some common misconceptions about your work as a PA?

Many people don’t really understand what a PA is. The title “physician assistant” is starting to trend toward “physician associate.” That’s probably the biggest misconception. Another thing people don’t realize is radiology is a specialty. It’s a narrow one, but we touch every other specialty – neuro, ortho, you name it. Still, our touchpoints are limited, so when I say I’m a PA in radiology, people assume I work in a doctor’s office or maybe an ER, or they think I’m a radiologist or an X-ray tech. And yes, I’ve been an X-ray tech, but that’s not what I do every day. When people ask what I actually do, I give them this elevator pitch: I use an ultrasound machine, an X-ray machine or a CT machine to put a needle, a line or a tube somewhere in your body. And I always add: You never want to meet me professionally.

Chris Davis completed a radiologic technology (RT) program prior to completing a Master of Physician Assistant Studies (MPAS) at A.T. Still University, Arizona School of Health Science, in Mesa Arizona, where he also completed a Doctor of Medical Science (DMSc) with an emphasis in healthcare leadership.

Radiology Partners, through its owned and affiliated practices, is a leading physician-led and physician-owned radiology practice in the U.S. Learn more about our mission, values and practice principles at RadPartners.com. For the latest news from RP, follow along on our blog and on XLinkedIn, Instagram and  YouTube. Interested in learning about career opportunities? Visit our careers page.


Rad to Rad Learning: Renal Angiomyolipoma

The Radiology Partners (RP) Interventional Radiology (IR) National Subspecialty Division (NSD) presents our newest Rad to Rad Learning case.

The IR NSD is part of RP’s Clinical Value Team, whichworks to elevate patient care and enhance value through innovation, collaboration and education. To advance this goal, our radiologists and advanced practice providers are committed to sharing peer learning as valuable reminders and insights about what we encounter in our day-to-day practice.

Check back here and on XLinkedIn and Instagram to see these common cases and our findings.Visit the Clinical Resources page for more cases and to see what we’ve developed to enhance best practice recommendations, elevate image quality and patient care and update current standards throughout RP’s network of practices, all to deliver excellent radiology services to patients, referring clinicians and client partners.

Radiology Partners, through its owned and affiliated practices, is a leading physician-led and physician-owned technology-enabled radiology practice in the U.S. For the latest news from RP, follow us on XLinkedInInstagramYouTube and the blog.Shared to improve patient safety and healthcare delivery in the provision of radiology services. The circumstances and facts are changed, altered, or deidentified to preserve confidentiality. Privileges have not been waived.


Rad to Rad Learning: Pulmonary AVM

The Radiology Partners (RP) Interventional Radiology (IR) National Subspecialty Division (NSD) presents our newest Rad to Rad Learning case.

The IR NSD is part of RP’s Clinical Value Team, whichworks to elevate patient care and enhance value through innovation, collaboration and education. To advance this goal, our radiologists and advanced practice providers are committed to sharing peer learning as valuable reminders and insights about what we encounter in our day-to-day practice.

Check back here and on XLinkedIn and Instagram to see these common cases and our findings.Visit the Clinical Resources page for more cases and to see what we’ve developed to enhance best practice recommendations, elevate image quality and patient care and update current standards throughout RP’s network of practices, all to deliver excellent radiology services to patients, referring clinicians and client partners.

Radiology Partners, through its owned and affiliated practices, is a leading physician-led and physician-owned radiology practice in the U.S. For the latest news from RP, follow us on XLinkedInInstagramYouTube and the blog.Shared to improve patient safety and healthcare delivery in the provision of radiology services. The circumstances and facts are changed, altered, or deidentified to preserve confidentiality. Privileges have not been waived.


Photos of Dr. Craig with family

Why RP? Q&A with Dr. Steven Craig, Interventional Radiologist

Dr. Craig shares his journey to interventional radiology and how his military career helped prepare him for his leadership role with RP’s SEAL Team.

Dr. Steven Craig is an interventional radiologist and retired U.S. Army Colonel based in San Antonio, Texas. He is president of the RP SEAL Team, which provides on-site support to new practices that join RP, to ensure smooth integration and stabilization of services. Outside of work, he enjoys running, mountain biking and being on the water with his family. As the parents of two college athletes, he and his wife spend a lot of time traveling to watch their children compete. He joined RP in 2022, after a 24-year career in the U.S. Army. 

We talked to Dr. Craig about his journey to interventional radiology (IR) and how his military career helped prepare him for his leadership role with RP’s SEAL Team. 

Why did you choose radiology? 

I had an amazing high school science teacher whom I credit with pushing me into medicine. I was in advanced placement anatomy or science in high school, and we had an anatomy lab. That’s what started my love for this type of work. Radiologists are basically anatomists. We’re doing the same thing, but instead of using a knife, we’re using a CT scanner or an X-ray machine. Fast forward to when I was in medical school, I had an excellent radiology professor. He made things interactive and exciting, and he instilled in us that radiologists are the doctor’s doctor. So, if a doctor means teacher, we’re the doctor’s teacher. When the other doctors have questions, they need answers and they come to us. We can provide those answers. That was really cool to me. 

What led you to choose the Army? How did it shape your perspective on what you’re doing now?  

I did not come from a military family, and it wasn’t really on my radar. I got married young and did not come from a family with a lot of money, and I was introduced to a gentleman who said he could help me pay for college. I joined ROTC, intending to do my four years and get out, since I needed help paying for college. I quickly realized this is absolutely something I enjoyed and was good at, and I liked being part of something bigger. The military is a large organization, and being part of something bigger than you is kind of satisfying. Fast forward, I took them up on the offer to pay for medical school, and I became a doctor while I was in the military. Every time the military offers to pay for school, they ask for more time, and I was glad to give it. By the time I was done with paying off the time I owed for my school, I was a colonel, and I was ready to retire. During the path along the way, I had so many leadership jobs and opportunities to go to different parts of the world. 

What drew you to IR? 

I can pinpoint the exact moment when that happened. I completed a couple of surgical rotations and was starting to question whether I should be a surgeon or if I was going in the right direction. Then I had an interventional radiology rotation, and on the first day, we did a groin access. We accessed somebody’s leg, put a catheter through their body and embolized an aneurysm in their face. That was my first day, and I was immediately like, “This is so cool. This is what I’m going to do for the rest of my life.” 

How long have you been an interventional radiologist at this point and how do you find it now? 

I had a career in the military before going into medicine, so I got a late start in medicine. I did my training in the military and became an interventional radiologist in 2015. I spent several years at Brooke Army Medical Center, which is a large level one trauma center, treating trauma, a lot of interventional oncology (I really love the interventional oncology side), teaching residents and occasionally teaching fellows and medical students. I think that set me up well for when I left the military, then I jumped right into the RP SEAL team and immediately into a leadership role. Now leadership is about half of what I do, and IR is the other half. I do miss the high-end IR work I was doing five years ago I’m not doing nearly as much now, but I think it’s a good balance. I’m enjoying the leadership side and get to do a little bit of both. 

The military had some influence on the RP SEAL Team when it was developed. Tell as more about that, as someone who has served in the military. 

At RP, SEAL stands for secure, engage, align and lead,” and we focus primarily on operations and integration. I initially didn’t like that we were calling ourselves the SEAL team, but we did get buyin from some high-ranking Marines who said, Don’t just steal our name; it needs to mean something. And it does mean something. We call ourselves the integrations team and special ops, which also has a military connotation. That’s how we see ourselves. When we partner with a local practice new to RP, it’s our SEAL Team radiologists who are there to offer the practice stability and continue providing high-quality patient care. We set the stage to make it easier for those who come behind us. That’s the same thing the U.S. Navy SEALs do. They’re the first ones in to do the hard work, and they set the stage for those who are going to come behind them. 

Talk about your journey to joining RP and ultimately becoming president of RP SEAL. 

In the last couple years of my military career, I was using my vacation time to practice through a locums agency. In 2019, I was reading on a diagnostic locums shift for an RP practice in El Paso, Texas, and Dr. Byron Christie, who founded the RP SEAL team, walked in and introduced himself. He told me about the SEAL team, and I thought, “that sounds like exactly what I’m looking for.” After 24 years in the Army, I wasn’t necessarily looking to sign a contract where I had to go to the same place to work every day. Immediately I said yes, but I still had two years left in the Army, so I took his phone number. A year later, I called him, and he said, “Yes, we still have a position for you.I joined RP in 2021 as a SEAL member six. Six people wasn’t enough, so six became 10, 10 became 20 and so on. Now we’ve got more than 60 members. A few months ago, I stepped into the president role. My leadership training in the military has helped me in this role, and it’s been a good fit. I’m enjoying it. 

What are some of the unique features RP offers that are hard to find elsewhere 

All RP-affiliated practices are unique. For somebody from the outside looking for a job, we have something for you. No matter what it is you’re looking for, RP has it. You want to be in a tiny practice in a rural area? We have that. You want to be in a large city and work in an academic institution? We have that. You want to work remotely? You want to work onsite? Whatever it is you want to do, RP does all those things. 

What excites you about the future of radiology at RP? 

At RP, we can invest in things affecting the entire industry. Right now, there are not enough radiologists in general, and there are not enough doctors to do the work. RP has invested in ways to enhance our workflows so we can better serve our patients and referring providers. A lot of that revolves around IT and AI. There are some amazing AI tools we‘ve invested in, and they make our jobs easier. I don’t think the technology is going to replace us; it’s just going to make us better.   

Dr. Steven Craig earned his medical degree from Uniformed Services University; completed his residency in diagnostic radiology at Brooke Army Medical Center; and completed his fellowship in vascular and interventional radiology at UT Health San Antonio. 

Radiology Partners, through its owned and affiliated practices, is a leading physician-led and physician-owned radiology practice in the U.S. Learn more about our mission, values and practice principles at RadPartners.com. For the latest news from RP, follow along on our blog and on XLinkedIn, Instagram and  YouTube. Interested in learning about career opportunities? Visit our careers page.


Rad to Rad Learning: Intramural Hematoma

The Radiology Partners (RP) Interventional Radiology National Subspecialty Division (NSD) presents our newest Rad to Rad Learning case.

The Interventional Radiology NSD is part of RP’s Clinical Value Team, which works to elevate patient care and enhance value through innovation, collaboration and education. To advance this goal, our radiologists and advanced practice providers are committed to sharing peer learning as valuable reminders and insights about what we encounter in our day-to-day practice.

Check back here and on XLinkedIn and Instagram to see these common cases and our findings.Visit the Clinical Resources page for more cases and to see what we’ve developed to enhance best practice recommendations, elevate image quality and patient care and update current standards throughout RP’s network of practices, all to deliver excellent radiology services to patients, referring clinicians and client partners.

Radiology Partners, through its owned and affiliated practices, is a leading physician-led and physician-owned radiology practice in the U.S. For the latest news from RP, follow us on XLinkedInInstagramYouTube and the blog.Shared to improve patient safety and healthcare delivery in the provision of radiology services. The circumstances and facts are changed, altered, or deidentified to preserve confidentiality. Privileges have not been waived.


Why RP? Dr. Susan O'Horo

Why RP? A Q&A with Dr. Susan O’Horo, Interventional Radiologist

Dr. O’Horo discusses her journey in radiology, the evolving role of women in the field and her experience at RP.

Dr. Susan O’Horo is a practicing interventional radiologist (IR) on RP’s SEAL team and serves on RP’s patient safety committee. Based in the coastal community of Hingham, Massachusetts, she balances her professional life by enjoying gardening, reading, participating in community activities, socializing with friends, exploring national parks and spending time with her three children.

We spoke with Dr. O’Horo to learn about her IR journey and advocacy for women in radiology.

Tell us what inspired you to become a radiologist.

My path to radiology was somewhat serendipitous. I initially pursued surgery in medical school, but the demanding hours caused me to reconsider. We worked about 125 hours a week, with 24-hour shifts often stretching to 30, which took its toll. I was seeking a change, and a friend introduced me to radiology’s appeal: a wide variety of interesting and diverse cases, frequent collaboration with other physicians and a healthier work-life balance. I was captivated by the intellectual challenge and my affinity for visual interpretation, prompting me to make the transition. Fortunately, I secured residency, smoothly transitioning from a surgical internship to radiology.

How did you choose IR as your specialty?

IR is a unique combination of imaging, procedures and direct patient care. The intersection of imaging, innovation and technology offers a dynamic environment where I can make a tangible difference in patients’ lives. I’m particularly drawn to the opportunity to treat some of the most complex cases in the hospital, where traditional treatments have often been exhausted. Whether pioneering new procedures or refining existing ones, the ability to positively impact patient outcomes is incredibly rewarding to me.

How did you connect with RP?

I connected with RP through my role as co-chair for the Massachusetts Radiological Society Quality and Safety Committee. We hosted a quarterly conference on quality and safety, where Dr. Nina Kottler, RP’s associate chief medical officer for clinical AI, was invited to speak on AI’s applications in clinical practice. Following her presentation, I approached her about potential opportunities within RP. She introduced me to Dr. Byron Christie, who was then president of the SEAL team at RP and has since become RP’s associate chief medical officer for operations.

You are a member of the SEAL team at RP. Can you explain what the SEAL team is and its role?

The SEAL team stands for “stabilize, engage, align and lead,” focusing primarily on operations and integration. When new practices join RP, the SEAL team provides on-site support to ensure smooth integration and stabilization of services. This includes offering radiology services to hospitals and patients during transition. Our goal is to facilitate a seamless integration process until the practice is fully integrated with RP, assisting with technology and regular radiology services as needed.

Being part of the SEAL team has been truly remarkable. While traditional radiology offers exposure to the best cases in one hospital, as a SEAL team member, I have the privilege of encountering top cases across the country. This role has provided valuable insights into diverse healthcare landscapes, enhancing my focus on quality and safety. This experience has deepened my understanding of delivering high-quality radiology on a national scale, fostering shared learning and improvement across practices. My responsibilities vary: I travel to our managed sites about one week per month, while the remainder of my time is dedicated to remotely supporting sites with diagnostic needs. This hybrid arrangement allows me to actively participate in interventional and diagnostic radiology, which is incredibly fulfilling professionally. Moreover, the outstanding work-life balance afforded by this position has been a game-changer for me, whether at home or on the road.

How have you observed the evolution of female representation and mentorship opportunities in IR throughout your career?

Few women were represented when I began my career in radiology, particularly in interventional radiology, and mentorship opportunities were scarce amidst prevalent biases. However, I’ve witnessed significant positive changes as more women enter various radiology specialties. Today, women in IR are breaking barriers, leading research, innovating techniques and advocating for diversity.

What advice would you give to encourage young female physicians to pursue a career in IR?

It’s important to recognize the increasing presence of women in IR, enriching the specialty with diverse perspectives and contributions. I would emphasize the intellectually stimulating nature of the work, the visually compelling practice and the abundant leadership and professional growth opportunities available. Aspiring female physicians should seek mentors who provide guidance and support, helping them engage in networks that promote collaboration and advocacy.

RP is committed to fostering a supportive and inclusive workplace where women radiologists thrive and make meaningful contributions. We actively encourage women to assume leadership roles, leveraging their expertise to influence decision-making. RP provides robust resources for professional growth, promotes a healthy work-life balance and cultivates networks where women radiologists can connect and mentor one another, creating a positive work environment. Moreover, we advocate for gender diversity and equality, ensuring equitable opportunities for women to succeed and excel in their careers.

How has your work/life balance changed since joining RP?

Since joining RP, my work/life balance has significantly improved, especially regarding my love for travel. Exploring national parks has long been a passion of mine, aiming to add two or three new ones each year. Traveling and working on-site at various hospitals has allowed me the opportunity to access additional parks. Each visit has been spectacular, from Mammoth Caves in Kentucky to Mount Rainier in Washington. Yosemite remains my favorite, closely followed by Mount Rainier.

What excites you about RP? What are some unique features you can’t find elsewhere?

My experience at RP has exceeded my expectations. I adore my team at RP. We’re incredibly cohesive, collaborative, and flexible, making our work environment enjoyable. It’s genuinely the most harmonious team I’ve ever been a part of. Our leaders are exemplary, guiding us all towards shared goals with positivity and clarity. I value RP’s physician-led approach and its leadership’s intelligence and emotional intelligence, which have enriched my experience here immensely.

Additionally, RP offers unique opportunities for radiologists with diverse interests and passions. In my previous roles, I couldn’t explore avenues like providing care in underserved areas or teaching residents abroad. At RP, I have the chance to make meaningful contributions both locally and globally. Whether teaching residents in Tanzania or assisting patients in hospitals across West Virginia, Kentucky and Appalachia, there’s a profound sense of fulfillment in delivering high-quality care where it’s needed most. This aspect of RP was a pleasant surprise, opening doors to opportunities I had previously only dreamed of.

How do you see RP contributing to the future of radiology?

In my opinion, the future of radiology hinges on the collaboration between radiologists and the technologies at our disposal, whether existing platforms or those yet to be developed, all aimed at enhancing patient care. These advancements are transformative. RP is a key player in reshaping radiology due to its vast resources, expansive reach and visionary leadership. The leadership team’s focus on patient care is paramount in addressing the growing demands on radiologists. With the current patient volumes surpassing the available radiologist workforce, innovative approaches are essential to efficiently meet patient needs. Burnout remains a significant concern among radiologists, but RP excels with its physician-led model, significantly improving outcomes for radiologists and patients. Efficiency and time management are my top priorities, especially as a mother of three. Thanks to advancements in AI and IT platforms, I can now care for more patients while maintaining a healthy work-life balance.

Are there any other experiences you’ve had working at RP that you would like to share?

What stands out to me is how radiology operates as a team effort, reminiscent of my college experience on the crew team. While individual contributions are crucial, our collaborative spirit propels us forward. Guided by exceptional leadership, we navigate challenges together, each member fulfilling their role with professionalism and dedication. This cohesive atmosphere is evident, with everyone working seamlessly towards shared objectives.

Dr. Susan O’Horo (LinkedIn) earned her medical degree from the University of Vermont College of Medicine and completed her residency in diagnostic imaging and fellowship in interventional radiology at Rhode Island Hospital/Brown University.

Radiology Partners, through its owned and affiliated practices, is a leading physician-led and physician-owned radiology practice in the U.S. Learn more about our mission, values and practice principles at RadPartners.com. For the latest news from RP, follow along on our blog and on XLinkedIn, Instagram and  YouTube. Interested in learning about career opportunities? Visit our careers page.


Dr. Matthew Peterson

Why RP? A Q&A with Dr. Matthew Peterson, Interventional Radiologist

Dr. Peterson shares his thoughts on the benefits of a national radiology practice.

Dr. Matthew Peterson’s interventional radiology (IR) career spans two separate Radiology Partners affiliated practices. For the last two years, he has practiced in Sarasota, Florida, and prior, he served a practice in Columbus, Ohio. Currently, he is a member of RP’s physician recruiting support board, and he previously served on his local practice’s board. Outside of radiology, Dr. Peterson is married with three children and enjoys anything related to sports, especially golf and skiing. We talked to Dr. Peterson to learn more about his career and his experience with RP.

“With the benefits of a strong IT infrastructure, utilization of AI, adherence to best practice recommendations and a national platform that allows us to collaborate across a large network, I think Radiology Partners allows us to push the standard of what radiologists can offer to our patients and clients.” – Dr. Matthew Peterson

Why did you choose radiology?

I was exposed to IR during my third year of medical school. I already knew I wanted to do something surgical or procedure-based, and I found the use of imaging and minimally invasive techniques in IR fascinating, which drew me to radiology. As I learned more about the specialty, the ability to impact all parts of medicine interested me. To be a radiologist, you must be knowledgeable about so many different areas of medicine, and that challenge was what drove me to pursue radiology.

How did you connect with RP?

I have been with RP for much of my career. After my fellowship, I joined a private practice in Ohio. During my time there in 2016, our group partnered with Radiology Partners. Between serving on our local practice board and the RP recruiting support board, I developed a good understanding of how RP works with local practices and the value local practices and RP bring to each other. My family made the decision to relocate to Florida, and through the connections and friendships that I had made within RP, I was fortunate to relocate to another RP practice. My experience with RP has been very positive, and it was a goal of mine to stay within the practice.

What excites you about RP?

My group joined RP early on in my career, when RP was also in its beginning stages. Much of the discussion was about how to make radiology better and how RP could accomplish that. As time went on, RP grew and delivered, turning those ideas into resources to make us a better practice and physicians. With the benefits of a strong IT infrastructure, utilization of AI, adherence to best practice recommendations and a national platform that allows us to collaborate across a large network, I think Radiology Partners allows us to push the standard of what radiologists can offer to our patients and clients.

What are some of the unique features that RP offers that are hard to find elsewhere?

I like to highlight to people that RP is a radiology practice that puts a strong emphasis on culture and physician engagement. RP has created educational courses to teach radiologists about healthcare business and administration so we can train our own physicians to help lead our practice. RP allows for numerous opportunities to be in leadership roles, such as local practice committees, hospital/medical directors, RP national boards and radiology advocacy groups. We have a lot of great physician leaders at RP, and there are lots of ways that interested radiologists can get involved.

How has your opinion of RP changed since joining the practice?

I did not know much about RP when our practices merged, but one of the circumstances where I saw a real impact of being with RP was during the Covid-19 pandemic. There was a lot of uncertainty in the world, with what was going on and what the future would look like. Although no one was able to predict how it would play out, RP leadership did a great job of identifying potential challenges, offering guidance and giving projections as to what to expect. The transparency of RP’s leadership provided a sense of confidence and stability, which allowed us as radiologists to remain focused on providing patient care. I do not think our group would have had the same experience had it not been for RP.

What does the future of radiology look like in five years? How will RP contribute to that?

There are trends in radiology that I think will continue. Healthcare continues to rely on imaging, and with a growing and aging population, radiologists will be pushed to find ways to be more efficient without sacrificing quality to keep up with demand. Physician recruiting and retention will be increasingly important for groups, and I think improving the work environment and job satisfaction for radiologists will be more of a focus. Reimbursement will remain tied to quality metrics and adherence to these measures will be important for groups to avoid financial penalties. These are areas that RP continues to examine and improve where able. Additionally, AI will continue to be at the forefront of our profession. In RP, we have already seen the implementation of AI technology to improve the quality of our reports in the past five years. RP is continuing to develop AI into a tool to help us perform our job better, which I think will have a growing impact on the interpretation of images in the future.

Dr. Matthew Peterson earned his medical degree from Loyola University in Chicago; completed his residency at Morristown Medical Center in Morristown, New Jersey; and completed a fellowship in vascular and interventional radiology at the University of Minnesota.

Radiology Partners, through its owned and affiliated practices, is a leading physician-led and physician-owned radiology practice in the U.S. Learn more about our mission, values and practice principles at RadPartners.com. For the latest news from RP, follow along on our blog and on TwitterLinkedIn,  Instagram and YouTube. Interested in learning about career opportunities? Visit our careers page.