Rad to Rad Learning: Tension Pneumocephalus

The Radiology Partners (RP) Neuroradiology National Subspecialty Division (NSD) presents our newest Rad to Rad Learning case. 

 


Peer Learning Opportunitymegaphone icon

Progressive increase in intracranial pressure over time is life threatening.

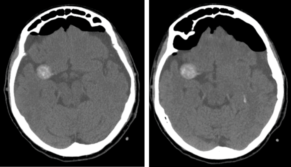
Tension Pneumocephalus 

a ct scan of a tension pneumocephalus

Note the progressive compression of the frontal lobes by air with widening of interhemispheric spaces. 

Shared to improve patient safety and healthcare delivery in the provision of radiology services. The circumstances and facts are changed, altered, or deidentified to preserve confidentiality. Privileges have not been waived.


Practical Insights duplicate icon

    • Occurs most commonly after SDH evacuation, but can also be seen after skill base or sinonasal surgeries, head trauma, and nitrous oxide anesthesia.

    • Treated with ventriculostomy, craniotomy, and dural defect closure.


Bell iconTakeaway: Symptomatic enlarging pneumocephalus is a neurosurgical emergency.

The Neuroradiology National Subspecialty Division (NSD) is part of RP’s Clinical Value Team, whichworks to elevate patient care and enhance value through innovation, collaboration and education. To advance this goal, our radiologists and advanced practice providers are committed to sharing peer learning as valuable reminders and insights about what we encounter in our day-to-day practiceCheck back here and on XLinkedIn and Instagram to see these common cases and our findings.

Visit the Clinical Resources page for more cases and to see what we’ve developed to enhance best practice recommendations, elevate image quality and patient care and update current standards throughout RP’s network of practices, all to deliver excellent radiology services to patients, referring clinicians and client partners.

Radiology Partners, through its owned and affiliated practices, is a leading physician-led and physician-owned technology-enabled radiology practice in the U.S. For the latest news from RP, follow us on XLinkedInInstagramYouTube and the blog.


Rad to Rad Learning: Ectopic Pregnancy

The Radiology Partners (RP) Body Imaging Subspecialty Division (NSD) presents our newest Rad to Rad Learning case. 

 


Peer Learning Opportunitymegaphone icon

This condition affects 1-2% of pregnancies. With associated bleeding, 1st trimester pregnancies are at a risk of up to 18%. 

Ectopic Pregnancy93-97% of ectopics are tubal. Tubal ring sign has 95% PPV for ectopic. Visible double decidual sign of the intrauterine sac indicates low probability of ectopic. 

arrows pointing to different types of ectopic pregnancies

Fluid in the endo canal is pseudosac (yellow arrow) vs. Ectopic (purple arrow)

Shared to improve patient safety and healthcare delivery in the provision of radiology services. The circumstances and facts are changed, altered, or deidentified to preserve confidentiality. Privileges have not been waived.


Practical Insights duplicate icon

    • Check for adnexal masses and amount of free fluid in the hepatorenal recess to determine significance.

    • Complex free fluid may represent blood products.

    • Quantitative beta HCG levels are required. Levels >2500 are highly suspicious for occult ectopic.

    • Surgery is recommended for ectopic >3.5cm or if cardiac activity is present.


Bell iconTakeaway: Always report size of ectopic. If >3.5cm, surgery is recommended. 

The Body Imaging Subspecialty Division (NSD) is part of RP’s Clinical Value Team, whichworks to elevate patient care and enhance value through innovation, collaboration and education. To advance this goal, our radiologists and advanced practice providers are committed to sharing peer learning as valuable reminders and insights about what we encounter in our day-to-day practiceCheck back here and on XLinkedIn and Instagram to see these common cases and our findings.

Visit the Clinical Resources page for more cases and to see what we’ve developed to enhance best practice recommendations, elevate image quality and patient care and update current standards throughout RP’s network of practices, all to deliver excellent radiology services to patients, referring clinicians and client partners.

Radiology Partners, through its owned and affiliated practices, is a leading physician-led and physician-owned technology-enabled radiology practice in the U.S. For the latest news from RP, follow us on XLinkedInInstagramYouTube and the blog.


2026 Doctors’ Day: Thank You

March 30 is National Doctors’ Day, and I want to acknowledge the dedication and compassion physicians bring to their work every day in service of patients across the country. 

I am particularly grateful for the radiologists I have the privilege to work alongside and learn from. Together, our radiologists form the foundation of our practice and our mission to transform radiology.  

While much of your impact happens behind the scenes, the reach of your service extends far beyond the reading room. 

You serve our communities in countless ways — from participating in international mission trips to places like Ghana and Guyana, to advocating for thoughtful health policy that strengthens patient care nationwide. You invest in your own growth by engaging in leadership programs, becoming stronger physician leaders for your teams, your practices and our specialty. You lead and mentor the next generation of radiologists, shaping the future of our field, and you advance education and clinical excellence through the important work of our Clinical Value Team. 

Your clinical expertise, your collaborative partnerships with referring providers and care teams, and your unwavering commitment to high-quality radiology care inspire me every day. It’s your work, in all its forms, that brings our mission to life. 

While we continue to navigate challenges across our specialty and the broader healthcare landscape, we remain committed to advancing radiology in innovative, meaningful ways — always with our patients at the center of what we do. 

Thank you for everything you do, for the many ways you serve, and for the difference you make every day. Happy Doctors’ Day! 

Radiology Partners, through its owned and affiliated practices, is a leading physician-led and physician-owned radiology practice in the U.S. Learn more about our mission, values and practice principles at RadPartners.com. For the latest news from RP, follow along on our blog and on X, LinkedIn, Instagram and YouTube. Interested in learning about career opportunities? Visit our careers page


Rad to Rad Learning: Anterior Pneumothorax

The Radiology Partners (RP) Pediatric Radiology National Subspecialty Division (NSD) presents our newest Rad to Rad Learning case.

 


Peer Learning Opportunitymegaphone icon

This condition is associated with high morbidity but is difficult to see on supine neonates.

Anterior Pneumothorax

Pediatric chest radiograph

Hallmarks: Deep sulcus sign, no lung marking at the edge of right lung, increased sharpness of the cardiomediastinal border, more prominent on expiration.

Pediatric chest radiograph showing anterior pneumothorax with arrow pointing to landmarksShared to improve patient safety and healthcare delivery in the provision of radiology services. The circumstances and facts are changed, altered, or deidentified to preserve confidentiality. Privileges have not been waived.


Practical Insights duplicate icon

    • May be bilateral.

    • Can occur in both term and preterm babies.

    • Compare lung lucency between both sides.

    • Decubitus radiograph can be a helpful tool for confirmation.


Bell iconTakeaway: Even a suspected pneumothorax is a critical result and should be called.

The Pediatric Radiology National Subspecialty Division (NSD) is part of RP’s Clinical Value Team, whichworks to elevate patient care and enhance value through innovation, collaboration and education. To advance this goal, our radiologists and advanced practice providers are committed to sharing peer learning as valuable reminders and insights about what we encounter in our day-to-day practiceCheck back here and on XLinkedIn and Instagram to see these common cases and our findings.

Visit the Clinical Resources page for more cases and to see what we’ve developed to enhance best practice recommendations, elevate image quality and patient care and update current standards throughout RP’s network of practices, all to deliver excellent radiology services to patients, referring clinicians and client partners.

Radiology Partners, through its owned and affiliated practices, is a leading physician-led and physician-owned technology-enabled radiology practice in the U.S. For the latest news from RP, follow us on XLinkedInInstagramYouTube and the blog.


Rad to Rad Learning: Morton’s Neuroma

The Radiology Partners (RP) MSK National Subspecialty Division (NSD) presents our newest Rad to Rad Learning case.

 


Peer Learning Opportunitymegaphone icon

This finding represents a compressive neuropathy of the interdigital nerve primarily in the 2nd and 3rd intermetatarsal spaces.

Morton’s Neuroma

Moron's Neuroma radiographic imageShared to improve patient safety and healthcare delivery in the provision of radiology services. The circumstances and facts are changed, altered, or deidentified to preserve confidentiality. Privileges have not been waived.


Practical Insights duplicate icon

    • Presents with radiating pain, throbbing, numbness, and burning from the webspace into the toes. (Walking on marbles.)

    • Differential diagnosis: fracture, osteonecrosis, bursitis, synovial cyst.

    • Can have concomitant intermetatarsal bursitis.

    • AKA Intermetatarsal perineural fibrosis.


Bell iconTakeaway: Common cause of forefoot pain – best seen on T1 weighted sequences.

The MSK National Subspecialty Division (NSD) is part of RP’s Clinical Value Team, whichworks to elevate patient care and enhance value through innovation, collaboration and education. To advance this goal, our radiologists and advanced practice providers are committed to sharing peer learning as valuable reminders and insights about what we encounter in our day-to-day practiceCheck back here and on XLinkedIn and Instagram to see these common cases and our findings.

Visit the Clinical Resources page for more cases and to see what we’ve developed to enhance best practice recommendations, elevate image quality and patient care and update current standards throughout RP’s network of practices, all to deliver excellent radiology services to patients, referring clinicians and client partners.

Radiology Partners, through its owned and affiliated practices, is a leading physician-led and physician-owned technology-enabled radiology practice in the U.S. For the latest news from RP, follow us on XLinkedInInstagramYouTube and the blog.


Rad to Rad Learning: Slipped Capital Femoral Epiphysis

The Radiology Partners (RP) Pediatric Radiology National Subspecialty Division (NSD) presents our newest Rad to Rad Learning case.

 


Peer Learning Opportunitymegaphone icon

Slipped Capital Femoral Epiphysis (SCFE) is a common and urgent diagnosis and needs to be communicated with the referring provider.

Slipped Capital Femoral Epiphysis

radiographic image of the pelvis

Note the medial and posterior displacement of the right femoral head and widened physis. Frog lateral views are generally more sensitive.

radiographic image of the pelvisShared to improve patient safety and healthcare delivery in the provision of radiology services. The circumstances and facts are changed, altered, or deidentified to preserve confidentiality. Privileges have not been waived.


Practical Insights duplicate icon

    • Commonly missed diagnosis that leads to increased complications.

    • Complications include osteonecrosis, chondrolysis, chronic pain, and growth arrest.

    • Having a high index of suspicion is helpful.

    • For at-risk patients, compare the hips on both views.


Bell iconTakeaway: Make sure to communicate positive findings to the referring provider.

The Pediatric Radiology National Subspecialty Division (NSD) is part of RP’s Clinical Value Team, whichworks to elevate patient care and enhance value through innovation, collaboration and education. To advance this goal, our radiologists and advanced practice providers are committed to sharing peer learning as valuable reminders and insights about what we encounter in our day-to-day practiceCheck back here and on XLinkedIn and Instagram to see these common cases and our findings.

Visit the Clinical Resources page for more cases and to see what we’ve developed to enhance best practice recommendations, elevate image quality and patient care and update current standards throughout RP’s network of practices, all to deliver excellent radiology services to patients, referring clinicians and client partners.

Radiology Partners, through its owned and affiliated practices, is a leading physician-led and physician-owned technology-enabled radiology practice in the U.S. For the latest news from RP, follow us on XLinkedInInstagramYouTube and the blog.


collage of different teammates together

Teammate Appreciation Day 2026: Building the Future of Radiology – Together

At Radiology Partners (RP), our people are the driving force behind everything we do. Every day, our teammates bring purpose, collaboration and a deep commitment to doing what’s right for patients – and that shared spirit continues to propel our mission to transform radiology.

As we recognize National Employee Appreciation Day (or Teammate Appreciation Day, as we call it at RP), this moment offers more than an opportunity to say thank you. It’s also a chance to reflect on the meaningful momentum we’re building together in service of patient care and clinical excellence.

That momentum is evident in the exciting growth across RP over the past year. With the launch of Mosaic Clinical Technologies™ and MosaicOS™, RP is expanding its AI capabilities and clinical services and delivering advanced tools and insights that help care teams work more efficiently and effectively. At the same time, the acquisition of Cognita Imaging Inc. by Mosaic Clinical Technologies™ strengthens our ability to innovate, scale and accelerate solutions that support radiologists, practices and, most importantly, patients.

This collective commitment is also reflected in another achievement worth celebrating: Radiology Partners has earned Great Place to Work® Certification for the sixth consecutive year. More than 80% of RP teammates report that the practice fosters a flexible, welcoming environment where people are trusted with meaningful responsibility and empowered to do their best work.

While individual contributions matter, it’s the collective ingenuity and teamwork across RP that make progress like this possible. From advancements in AI and technology to the daily expertise and compassion of radiologists, technologists and support teams nationwide, everything we do is rooted in service to patients and the communities who rely on us.

Together, RP is building the future of radiology – guided by purpose, powered by people and focused on delivering high-quality, patient-centered care every day.

Thank you to every member of the RP team for all that you do. It is truly an honor to work alongside such a talented, passionate and purpose-driven team!

Radiology Partners, through its owned and affiliated practices, is a leading physician-led and physician-owned radiology practice in the U.S. Learn more about our mission, values and practice principles at RadPartners.com. For the latest news from RP, follow along on our blog and on X, LinkedIn, Instagram and YouTube. Interested in learning about career opportunities? Visit our careers page.   


header with 3 different snapshots of Dr. Reddy with his family, colleagues, and playing the cello.

Why RP? A Q&A with Dr. Syam Reddy, Body and Breast Radiologist

Dr. Syam Reddy, National Subspecialty Lead for Body Imaging at Radiology Partners (RP), discusses RP’s focus on delivering quality care and enhancing patient and client experiences while leading innovation in AI and technology.

Dr. Syam Reddy is the National Subspecialty Lead (NSL) for Body Imaging at RP. A body and breast radiologist and practice president at RP Chicago, he and his practice joined RP in 2014. He is the clinical chair at UChicago Medicine Ingalls Memorial and a member of several physician support boards, as well as a facilitator for coaching circles. He holds memberships in the Chicago Radiologic Society, Breast Imaging American College of Radiology (ACR) Data Science Institute, ACR CT colonoscopy committee, the ACR HR Commission, Society of Cardiovascular CT (SCCT) and Society of Cardiovascular MR (SCMR). Outside of work, Dr. Reddy enjoys spending time with family – traveling, playing tennis with his kids, and learning the cello.

We talked to Dr. Reddy about his role with RP’s Clinical Value Team as NSL for Body Imaging, RP’s commitment to quality and innovation, the role of collaboration and AI in advancing subspecialty practice, and his excitement about leveraging imaging technology like MosaicOS™.

What inspired you to be a radiologist?

The biggest reason is my mom was a radiologist. Towards the end of her career, teleradiology was becoming more common. She had this monstrous screen she would have to bring home, and I saw her read these head CTs that took forever to load. That inspired me to see the mix of computers and medicine and how they meld together to help the patient. The more I learned about it, I was drawn to the fact that it’s almost like looking at artwork, trying to decipher what’s going on and putting all the pieces together – you’re a little bit of a detective, too. I also like my hands in a little bit of everything, and I found radiology to be a field that really covers all the specialties to a great extent.

What drew you to body imaging as a subspecialty?

I like body imaging because it’s so integrated with everything – from ER to developing subspecialties. I also got involved with breast imaging quite a bit, so those are the two areas I focused on. I really enjoy learning, and in radiology, there are always new updates, information and trials.

Talk about your decision to join RP.

Our group was one of the earliest groups to join RP, way back in 2014. At the time, we were a fairly large group, with about 100 radiologists across four or five states. Our group landed with RP because of their focus on quality. RP’s mission to transform radiology includes improving quality, patient experience and client-side experience, which drew our attention. That’s exactly what we wanted. Being a physician who can be integrated and involved with that process is really meaningful.

Talk about the change and growth you’ve seen within RP since you joined in 2014.

Looking back, I think RP has positioned itself as a practice that’s ahead of the curve in several ways. We’re the ones helping the rural areas that can’t get help. We’re working with reimbursement issues to ensure physicians are getting reimbursed properly to maintain their practices. And we’re the practice that’s ahead of the curve when it comes to AI and technology. I see a lot of vendors coming out, but I don’t know how many are radiology-driven with the input that we have and the speed at which we are progressing. All of those really speak volumes about what we are doing, what we have done and where we’re going.

What was your path to serving on our Clinical Value Team as the National Subspecialty Lead (NSL) for Body Imaging?

I started out being on the subspecialty advisory board. After a couple years, our previous NSL decided to explore other opportunities and asked me if I wanted to get involved. I thought it was a good way to get further into the subspecialty. I was nervous at first, but it was fun to jump in and meet everybody in the body imaging group. I’ve really enjoyed meeting other people in the practice and seeing all the things that we’ve developed over the years. I think there’s so much more potential – just the vastness of radiology really needs guidance for all these subspecialty exams that we do. There’s so much information out there.

What has been the most rewarding aspect of your NSL work?

I think sometimes we can get somewhat siloed, even within our own groups. When we come together in our advisory boards and discuss topics like trauma, we’re all on the same page. Those conversations give us the chance to say, “We do that too,” “This is how we do it,” “This is a great idea,” or “Maybe we can tweak it this way.” That sharing of ideas is so powerful. It’s great knowing there are so many resources out there and different ways to connect with people. And then there’s the challenge of pulling information together in a concise way. There are so many books and articles, so you have to dig through information. We need to get to a point where everything is very concise and easy to access, because that’s the way of the future.

Talk about the “Rad to Rad” peer learning program. What is it and what’s the goal of it?

When we think of our residents and fellows, a lot of information today is short-form – quick snippets like a one- or two-minute video on YouTube or a one-pager. With that in mind, we created the “Rad to Rad” peer learning program. It’s simple: share a couple of images from an important case and highlight the most valuable points. It’s super easy, super quick and very high yield. That’s the kind of content people are seeing on social media when it comes to radiology cases. Our hope is that it draws the attention of residents and fellows – and also keeps all of us engaged. We’re all busy, but if we can take a minute or two to see a case that boosts our confidence or helps avoid a mistake, it’s worth it.

How do you and the Clinical Value Team come together to create “Rad to Rad” learnings?

All of us are exposed to different cases in our practice, and some of them stand out. For example, maybe it was a miss, or maybe it was a great catch. I think most of us have a process where we document that, whether it’s a teaching case or something else, and we’re all very passionate about our desire to showcase our subspecialty. Those are the kind of cases we present to each other in our board meeting when we’re working on this. It’s kind of a working meeting; we’ll share the case, and then people will bring up some pointers, verify if it looks accurate, etc. Being able to create that is rewarding by itself.

Why is a team like the Clinical Value Team so integral to the rapid technology changes?

We’re all racing to get our work done, but we need someone to pause and make sure we’re running in the right direction. Sometimes speed without guardrails or guidance can lead to chaos pretty quickly. RP’s Clinical Value Team provides a forum that allows us to still move fast, but in the right direction, and ensure we’re doing it safely for our patients and the radiologists. That is so important. Our radiology societies play a similar role by ensuring new information and literature reach radiologists, so the quality of practice is always improving. Medicine is changing so quickly, and so is technology.

How would you define a successful future?

It seems like there’s this ever-growing gap between the volumes of work and the supply of radiologists. One of the things we’re focusing on is AI and how we can integrate it with radiologists to improve the whole process. To me, success would be all of that coming to fruition: leveraging AI while maintaining our quality and improving patient care. If we’re able to see all those things happen, that’s true success – no question.

You are an early user of Mosaic Clinical Technologies™. What has your experience been so far?

My background is in biomedical engineering, and the biggest decision I had to make was whether to go into computers or medicine. The reason I didn’t go into computers is that I tend to obsess about trying to get things right. That’s why I enjoy working with MosaicOS™ – I like creating and understanding. It’s very early, but the concept of telling AI to handle tasks like calculating volumes or percent changes is just incredible. I used to do all of that manually with a calculator. What I really want to know is how far I can push the envelope. There are people who know more than I do, and I’m excited to learn from them. I think we’re headed in the right direction, and it’s going to be pretty amazing.

How would you like AI to help support your specialty?

I’ve always felt the purpose of RP’s Clinical Value Team is to make it easier to practice in our subspecialty: being faster, more efficient and with high-quality content. As we become more subspecialized, our subspecialized referrers expect very specific content. If we can increase everyone’s skill set in that way, then I think we’re successful. There’s a shortage of body imaging radiologists and breast imaging radiologists; how do we use AI and the clinical value we provide to decrease the gap while increasing the number of people who are able to perform?

Dr. Syam Reddy earned his medical degree from the University of Illinois Medical Center in Chicago; completed his residency at Sparrow Health System; and completed his fellowship in body MRI imaging at Baylor College of Medicine in Houston.

Radiology Partners, through its owned and affiliated practices, is a leading physician-led and physician-owned radiology practice in the U.S. Learn more about our mission, values and practice principles at RadPartners.com. For the latest news from RP, follow along on our blog and on XLinkedIn, Instagram and  YouTube. Interested in learning about career opportunities? Visit our careers page.


Rad to Rad Learning: Mode of Communication

The Radiology Partners (RP) Cardiothoracic Imaging National Subspecialty Division (NSD) presents our newest Rad to Rad Learning case.

 


Peer Learning Opportunitymegaphone icon

This is a routine outpatient chest x-ray that just showed up on your list at 4:45 pm on a Friday. What is the appropriate management?

Mode of Communication

Chest X-rayShared to improve patient safety and healthcare delivery in the provision of radiology services. The circumstances and facts are changed, altered, or deidentified to preserve confidentiality. Privileges have not been waived.


Practical Insights duplicate icon

    • Call the referring provider right away. Don’t risk the report sitting in their inbox until Monday.

    • We’re all familiar with critical findings that need to be communicated immediately like strokes or PEs, but it is also important to communicate more “routine” findings in a way that would prevent delays in treatment that could cause significant adverse outcomes.


Bell iconTakeaway: Consider potential treatment delays in how you choose to communicate your findings.

The Cardiovascular Imaging National Subspecialty Division (NSD) is part of RP’s Clinical Value Team, whichworks to elevate patient care and enhance value through innovation, collaboration and education. To advance this goal, our radiologists and advanced practice providers are committed to sharing peer learning as valuable reminders and insights about what we encounter in our day-to-day practiceCheck back here and on XLinkedIn and Instagram to see these common cases and our findings.

Visit the Clinical Resources page for more cases and to see what we’ve developed to enhance best practice recommendations, elevate image quality and patient care and update current standards throughout RP’s network of practices, all to deliver excellent radiology services to patients, referring clinicians and client partners.

Radiology Partners, through its owned and affiliated practices, is a leading physician-led and physician-owned technology-enabled radiology practice in the U.S. For the latest news from RP, follow us on XLinkedInInstagramYouTube and the blog.


Great Place to Work

Radiology Partners Earns Great Place to Work-Certification™ for Sixth Consecutive Year

(NASHVILLE, Tenn.) Feb. 26, 2026Radiology Partners (RP), the leading technology-enabled radiology practice in the U.S. through its affiliated practices, announced it is Great Place to Work-Certified™ for the sixth consecutive year. Through its rigorous, data-driven methodology, Great Place to Work Certification™ confirms more than 80% of RP teammates say the practice offers a flexible, welcoming and caring environment where teammates are trusted with meaningful responsibility and empowered to work independently. The 2025 certification is a significant achievement, as the award is based entirely on what current radiologists and support teammates say about their experience working at RP.

Great Place to Work® is the global authority on workplace culture, employee experience, and the leadership behaviors proven to deliver market-leading revenue, employee retention and increased innovation.

“Radiology Partners is proud to earn Great Place to Work Certification™ for the sixth consecutive year,” said Jâlie Cohen, Chief Human Resources Officer. “This recognition underscores our steadfast commitment to prioritizing the teammate experience by fostering a welcoming and caring workplace where teammates feel valued, trusted and empowered. This culture of excellence enables us to consistently deliver outstanding service to our patients, referring physicians, clients and communities we serve.”

“Great Place to Work Certification is a highly coveted achievement that requires consistent and intentional dedication to the overall employee experience,” says Sarah Lewis-Kulin, vice president of Global Recognition at Great Place to Work. “By successfully earning this recognition, it is evident that Radiology Partners stands out as one of the top organizations to work for, providing a great workplace environment for its employees.”

According to Great Place to Work research, job seekers are 4.5 times more likely to find a great boss at a Great Place to Work Certified™ workplace, and teammates at certified workplaces are 93% more likely to look forward to work.

About Radiology Partners

Radiology Partners, through its affiliated practices, is the leading technology-enabled radiology practice in the U.S., serving more than 3,400 hospitals and other healthcare facilities with high quality radiology, technology and artificial intelligence solutions. As a physician-led and physician-owned practice, our mission is to transform radiology by innovating across clinical value, technology, service and economics, while elevating the role of radiology and radiologists in healthcare. Using a proven healthcare services model, Radiology Partners provides consistent, high-quality care to patients, while delivering enhanced value to the hospitals, clinics, imaging centers and referring physicians we serve. Learn more at radpartners.com and connect with us on LinkedIn, X, Instagram and YouTube.

About Great Place to Work Certification™

Great Place to Work® Certification™ is the most definitive “employer-of-choice” recognition that companies aspire to achieve. It is the only recognition based entirely on what employees report about their workplace experience – specifically, how consistently they experience a high-trust workplace. Great Place to Work Certification is recognized worldwide by employees and employers alike and is the global benchmark for identifying and recognizing outstanding employee experience. Every year, more than 10,000 companies across 60 countries apply to get Great Place to Work-Certified.

About Great Place to Work®

As the global authority on workplace culture, Great Place to Work® brings 30 years of groundbreaking research and data to help every place become a great place to work for all. Their proprietary platform and For All™ Model helps companies evaluate the experience of every employee, with exemplary workplaces becoming Great Place to Work Certified™ or receiving recognition on a coveted Best Workplaces™ List. Learn more at greatplacetowork.com and follow Great Place To Work on LinkedIn, Twitter, Facebook and Instagram.

Media Contacts

Sheila Biggs
sbiggs@jarrardinc.com