The Radiology Partners (RP) Body Imaging Subspecialty Division (NSD) presents our newest Rad to Rad Learning case.
Peer Learning Opportunity
This condition affects 1-2% of pregnancies. With associated bleeding, 1st trimester pregnancies are at a risk of up to 18%.
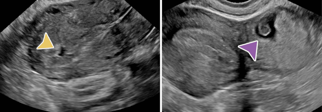
Ectopic Pregnancy: 93-97% of ectopics are tubal. Tubal ring sign has 95% PPV for ectopic. Visible double decidual sign of the intrauterine sac indicates low probability of ectopic.

Fluid in the endo canal is pseudosac (yellow arrow) vs. Ectopic (purple arrow)
Shared to improve patient safety and healthcare delivery in the provision of radiology services. The circumstances and facts are changed, altered, or deidentified to preserve confidentiality. Privileges have not been waived.
Practical Insights 
-
-
Check for adnexal masses and amount of free fluid in the hepatorenal recess to determine significance.
-
Complex free fluid may represent blood products.
-
Quantitative beta HCG levels are required. Levels >2500 are highly suspicious for occult ectopic.
-
Surgery is recommended for ectopic >3.5cm or if cardiac activity is present.
-
Takeaway: Always report size of ectopic. If >3.5cm, surgery is recommended.
The Body Imaging Subspecialty Division (NSD) is part of RP’s Clinical Value Team, which works to elevate patient care and enhance value through innovation, collaboration and education. To advance this goal, our radiologists and advanced practice providers are committed to sharing peer learning as valuable reminders and insights about what we encounter in our day-to-day practice. Check back here and on X, LinkedIn and Instagram to see these common cases and our findings.
Visit the Clinical Resources page for more cases and to see what we’ve developed to enhance best practice recommendations, elevate image quality and patient care and update current standards throughout RP’s network of practices, all to deliver excellent radiology services to patients, referring clinicians and client partners.
Radiology Partners, through its owned and affiliated practices, is a leading physician-led and physician-owned technology-enabled radiology practice in the U.S. For the latest news from RP, follow us on X, LinkedIn, Instagram, YouTube and the blog.



Shared to improve patient safety and healthcare delivery in the provision of radiology services. The circumstances and facts are changed, altered, or deidentified to preserve confidentiality. Privileges have not been waived.
Shared to improve patient safety and healthcare delivery in the provision of radiology services. The circumstances and facts are changed, altered, or deidentified to preserve confidentiality. Privileges have not been waived.
Shared to improve patient safety and healthcare delivery in the provision of radiology services. The circumstances and facts are changed, altered, or deidentified to preserve confidentiality. Privileges have not been waived.
Shared to improve patient safety and healthcare delivery in the provision of radiology services. The circumstances and facts are changed, altered, or deidentified to preserve confidentiality. Privileges have not been waived.

Shared to improve patient safety and healthcare delivery in the provision of radiology services. The circumstances and facts are changed, altered, or deidentified to preserve confidentiality. Privileges have not been waived.
Shared to improve patient safety and healthcare delivery in the provision of radiology services. The circumstances and facts are changed, altered, or deidentified to preserve confidentiality. Privileges have not been waived.
Shared to improve patient safety and healthcare delivery in the provision of radiology services. The circumstances and facts are changed, altered, or deidentified to preserve confidentiality. Privileges have not been waived.